Utskriftsdato ()

Utredning ved ryggmargssvulster

Ved utredning av svulster i ryggmargen, ryggmargsnervene og ryggmargshinnene gjøres en generell medisinsk undersøkelse, inkludert nevrologisk undersøkelse. Det gjøres bildediagnostiske undersøkelser for å påvise/lokalisere svulst og kartlegge utbredelse. Hos en del pasienter tas det også vevsprøve av svulsten for å stille en sikrest mulig diagnose. Det siste gjøres imidlertid ofte ikke om man har en liten svulst som man tror er meningeom eller om man mener det er for risikabelt. Det kan da være aktuelt å kontrollere med ny MR etter 2–3 måneder.

Klinisk nevrologisk undersøkelse

Klinisk nevrologisk undersøkelse av pasienten vil kunne gi holdepunkter for hvor i nervesystemet en eventuell svulst er lokalisert. Undersøkelsen omfatter en systematisk gjennomgang av blant annet bevegelighet, balanse og koordinasjon, sensibilitet (følelse) inkludert i underlivet, reflekser, stående stilling og gange.

Blodprøver og ryggmargsvæskeprøver

For de fleste svulster i ryggmargen, ryggmargsnervene og ryggmargshinnene har undersøkelser av blod, urin og ryggmargsvæske liten eller ingen diagnostisk betydning. Det viktigste unntaket er ved ependymomer hvor det av og til kan være aktuelt med ryggmargsvæskeprøve.

Bildediagnostiske undersøkelser

MR er det viktigste diagnostiske hjelpemiddel for å påvise svulst i ryggmargen, ryggmargsnervene og ryggmargshinnene. CT kan også brukes, men har klare begrensninger når det gjelder fremstilling av svulstene. Blant annet kan svulster som ikke tar opp kontrast bli oversett. CT og skjelettrøntgen kan imidlertid være nyttig for å kartlegge grad av skjelettødeleggelse og eventuell instabilitet i ryggsøylen.

Celle- og vevsprøvetaking

Vevsprøve fra svulst i ryggmargen, ryggmargsnervene og ryggmargshinnene tas hvis det er nødvendig for å finne ut hvilken type svulst som foreligger. Dersom man planlegger å fjerne svulsten ved operasjon gjøres vevsprøvetaking i samme seanse.  

Analyse av vevsprøver

Celle- og vevsprøver sendes til cytologisk eller histologisk analyse. I tillegg til at man studerer cellene i mikroskopet gjør man avanserte immunhistokjemiske og genetiske analyser. Nøyaktig hvilke analyser som gjøres er avhengig av hva slags type svulst man mistenker at pasienten har.

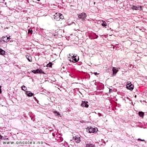
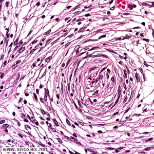
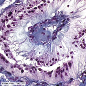
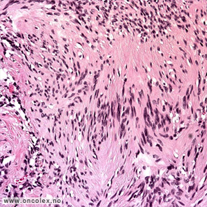
Bildeeksempler

Svulsttyper

Det finnes mange veldig forskjellige typer svulst i ryggmargen, ryggmargsnervene og ryggmargshinnene og de fleste er veldig sjeldne. Svulstene klassifiseres av WHO sammen med hjernesvulstene.

Svulster med opprinnelse i selve ryggmargen (intramedullære svulster)

Svulster utgått fra selve ryggmargen (intramedullære svulster) utgjør vel 20 % av svulster i ryggradskanalen hos voksne. Ependymom forekommer klart hyppigst og utgjør de aller fleste intramedullære svulstene.

Ependymom

Ependymomer er relativt sjeldne og deles inn i 9 undergrupper hvorav 3 finnes i ryggmargen. Noen av disse undergruppene er vanligst hos barn mens andre er vanligst hos voksne. Levetidsutsiktene varierer mellom undergruppene. Klassifiseringen skjer på bakgrunn av molekylærbiologiske egenskaper og i ryggmargen har man altså tre undergrupper av ependymomer. Den viktigste behandlingen er kirurgi og mange pasienter vil også få tilbud om strålebehandling. Ependymomer i ryggmargen oppstår oftest i sentralkanalen i ryggmargen. Tradisjonelt har man gradert ependymomer fra 1–3. Gradering gjøres fortsatt, men man har fjernet muligheten for grad 1. Fordi det er en del subjektivitet og usikkerhet rundt gradering, er man mer opptatt av molekylærbiologiske egenskaper. Ependymomer kan spre seg via hjernevæsken, men det er relativt uvanlig.

Les mer om svulster med opprinnelse i selve ryggmargen

Svulster med opprinnelse i ryggmargshinner/ryggmargsnerver (intradurale/ekstramedullære)

De vanligste svulstene i ryggmargshinner og ryggmargsnerver er meningeomer og schwannomer.

Meningeomer (hjernehinnesvulster)

Cirka 10 % av alle meningeomer som opereres forekommer i ryggradskanalen. Meningeomer er den nest hyppigste svulst i ryggradskanalen og utgjør godt over 30 % av denne svulstgruppen. De forekommer i alle aldre, men hyppigst hos personer mellom 40 og 70 år. Meningeomer forekommer hyppigere hos kvinner enn hos menn. Dette kan sannsynligvis forklares ut fra at de er påvirkelige av kvinnelige kjønnshormoner. Meningeomer er vanligvis velavgrensede i forhold til ryggmargen, omgitt av en kapsel, og de skyver ryggmargen foran seg under veksten. De vokser vanligvis svært langsomt og 95 % av svulstene er grad 1. Dersom det vurderes nødvendig å behandle en pasient med meningeom vil operasjon være førstevalget. Noen pasienter vil tilbys strålebehandling i stedet for eller i tillegg til operasjon. Prognosen etter kirurgisk fjernelse av meningeomer er meget god.

Schwannomer (ryggmargsnervesvulster)

Schwannomer er godartede svulster som finnes i ryggmargsnervene. De er nesten like vanlige som meningeomer og utgjør 25–30 % av svulstene i ryggradskanalen. Schwannomer opptrer i alle aldre, men er hyppigst hos personer mellom 40 og 70 år. Schwannomer forekommer like hyppig hos kvinner og menn.

Ofte vokser svulsten ut fra deler av nerverøttene og i en del tilfeller kan disse svulstene derfor fjernes uten å ødelegge hele nerveroten. Prognosen etter kirurgisk fjernelse av schwannomer er meget god.

Det kan nevnes at man for pasienter, hvor man finner multiple schwannomer eller nevrofibromer, bør tenke på muligheten for schwannomatose og nevrofibromatose. Dette er imidlertid veldig sjeldne arvelige tilstander.

Les mer om svulster med opprinnelse i ryggmargshinner/ryggmargsnerver

Svulster i ryggraden utenfor ryggmargshinnene (ekstradurale svulster)

De fleste svulster utenfor den ytterste ryggmargshinnen i ryggraden er spredningssvulster (metastaser) fra andre organer. Mange, men ikke alle, av disse pasientene har utbredt kreftsykdom og på bakgrunn av det kort forventet levetid.

Spredningssvulster fra andre organer

En del pasienter med kreft vil oppleve symptomgivende spredningssvulster til ryggradskanalen. Disse svulstene ligger som oftest utenfor ryggmargshinnene som kler ryggmargen (såkalte ekstradurale metastaser), og denne type spredning er vanligst ved bryst-, lunge-, prostata- og nyrekreft. Også benmargskreft (myelomatose) kan føre til påvirkning av ryggmargen, oftest ved at svulsten trykker på ryggmargen, Dette kan skje ved at svulsten selv vokser inn i ryggradskanalen, eller ved sammentrykning eller brudd av en eller flere ryggvirvler som medfører at deler av ryggvirvelen skyves inn i ryggradskanalen.

Malign medullakompresjon (MMK, også kalt truende tverrsnittssyndrom)

Dersom spredningssvulster fra andre organer eller en sjelden gang ryggmargssvulster presser på ryggmargen og gjør det trangt for denne, så kan det medføre det som kalles malign medullakompresjon (MMK). Svulstene trykker på ryggmargen og kan gi opphav til helt eller delvis lammelse og endret følelse nedenfor der svulsten klemmer på ryggmargen. Hos pasienter med MMK er det risiko for varige skader dersom man ikke får avlastet ryggmargen. Disse pasientene trenger derfor øyeblikkelig utredning og behandling med operasjon eller strålebehandling for å forhindre permanente nevrologiske skader.

Les mer om svulster i ryggmargen utenfor ryggmargshinnene